Your Trusted Dentists in Paramus and Englewood

At The Town Dentist, with over 15 years of experience, our expert team in Paramus and Englewood is dedicated to delivering exceptional dental care.

Improve Your Smile

With Our McLean Periodontist and Implant Dentist

Advanced Technology

Our office is at the forefront of modern dentistry, using the most advanced techniques and technology for superior outcomes. With us, you can benefit from safe, precise planning using our 3shape intraoral scanner, Green CT scan for minimal radiation, and Zeiss microscope. We are the only office in Northern Virginia with a microscope for microsurgery.

Advanced Technology

Our office is at the forefront of modern dentistry, using the most advanced techniques and technology for superior outcomes. With us, you can benefit from safe, precise planning using our 3shape intraoral scanner, Green CT scan for minimal radiation, and Zeiss microscope. We are the only office in Northern Virginia with a microscope for microsurgery.

Advanced Technology

Our office is at the forefront of modern dentistry, using the most advanced techniques and technology for superior outcomes. With us, you can benefit from safe, precise planning using our 3shape intraoral scanner, Green CT scan for minimal radiation, and Zeiss microscope. We are the only office in Northern Virginia with a microscope for microsurgery.

Receive Life-Changing Treatment

Contact Our McLean, VA, Office Today

Our McLean team has seen firsthand how dental implants and other restorative procedures can transform patients’ lives. After treatment, you’ll no longer have to hide your smile, restrict your diet to soft foods, and worry about not speaking clearly. You can simply live your life on your terms.

If you’re ready to learn what periodontics and implant dentistry can do for you, we invite you to reach out to our McLean, VA, office.

Changing Lives

Our Real Patient Cases

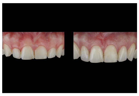
Gum Recession

Gum recession can cause increased tooth sensitivity and eventually lead to tooth loss. Dr. Hasan reshaped this patient's gumline and addressed other dental concerns in one streamlined plan.

Gum Recession

Gum recession can cause increased tooth sensitivity and eventually lead to tooth loss. Dr. Hasan reshaped this patient's gumline and addressed other dental concerns in one streamlined plan.

Gum Recession

Gum recession can cause increased tooth sensitivity and eventually lead to tooth loss. Dr. Hasan reshaped this patient's gumline and addressed other dental concerns in one streamlined plan.

“You’re in great hands.”

5-Star Reviews for Our McLean Periodontist

McLean Office

122 E Ridgewood Ave,
Paramus, NJ 07652,
United States

Mon to Fri 9:00am – 8:00pm

Saturday 9:00am – 4:00pm

Sunday Closed